FLUOROSCOPY
WHAT IS FLUOROSCOPY?
“Fluoroscopy – Technique of using xray technology to visualise the body and tissues in real time, almost like a movie “
During a fluoroscopy procedure, an X-ray beam is passed through the body. The image is transmitted to a monitor so the movement of a body part or of an instrument or contrast agent (“X-ray dye”) through the body can be seen in detail.
Fluoroscopy is used in a wide variety of examinations and procedures to diagnose or treat patients. Some examples are:
- Barium swallow, meal and enemas (to view the gastrointestinal tract)
- Urological examinations (Voiding cystourethrogram, Retrograde urethrogram, IVP)
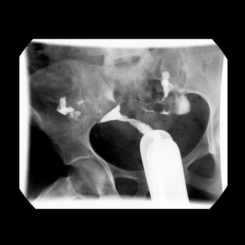
- Gynaecological examination: Hysterosalpingogram(HSG) – to view patency of fallopian tubes for infertility workup
- Catheter insertion and manipulation (to direct the movement of a catheter through blood vessels, bile ducts or the urinary system)
- Placement of devices within the body, such as stents (to open narrowed or blocked blood vessels)
- Angiograms (to visualize blood vessels and organs)
- Orthopedic surgery (to guide joint replacements and treatment of fractures)
HOW TO PREPARE
- You should bring a referral note from your doctor requesting relevant x-ray procedures based on your clinical history.
- You cannot have a fluoroscopy procedure when you are pregnant unless your health depends on it. Your doctor will decide if the x-ray procedure is necessary.
- Please indicate whether you are or suspected to be pregnant or whether you have any allergies to the radiographer before beginning the exam.
- The account will be submitted to your medical aid on your behalf. You remain responsible for any shortfall or non-payment by your medical aid.
- Private patients are expected to pay for the procedure on the day of the procedure.
- Cleaning of the bowel is needed for procedures such as a barium enema. Please contact our department for necessary bowel preparation instructions
- Patients having an HSG, are required to have the procedure performed within 10 days of completion of the menstrual cycle.
WHAT TO EXPECT
- You are likely to be given a form of xray dye such as barium or gastrograffin. You may find the taste and consistency of the barium unpleasant.
- You may be turned into various positions to have xrays done by the attending radiographer. Please follow their instruction.
- After the exam, resume your usual diet and take oral medications unless told otherwise by your doctor. You may also resume your normal activities.
- The barium may make your bowel movements look white for a day or two after your exam. This is normal. Sometimes the barium can cause temporary constipation. You can treat this with an over-the-counter laxative.
- Drinking more fluids for several days after the test can also help. Call your doctor if you are unable to have a bowel movement, or if your bowel habits change significantly after the exam.
